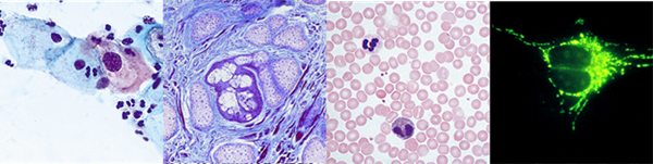
Tế bào học (Cytology) là phương pháp kiểm tra và nghiên cứu máu hoặc mô tế bào dưới kính hiển vi, qua đó phát hiện vi khuẩn, nấm, ký sinh trùng, chứng viêm, nhiễm trùng và ung thư phổi.

Kính hiển vi quang học được sử dụng rộng rãi trong các phòng thí nghiệm lâm sàng, dược phẩm và sinh học, đặc biệt là trong nghiên cứu tế bào học. Kính hiển vi quang học chủ yếu được sử dụng để quan sát tiêu bản, qua đó chuẩn đoán vật chất hiện hữu trên tiêu bản. Đôi khi kính hiển vi quang học cũng được sử dụng để kiểm tra định lượng trong quá trình nhuộm tiêu bản.
Trong ứng dụng tế bào học thì mục đích sử dụng chính của kính hiển vi quang học là kiểm tra huyền phù, phân đoạn trong các cấu phần tế bào. Các lát tiêu bản được quan sát để tìm ra những tế bào bất thường được nghi vấn là tế bào ung thư (thường thực hiện theo phương pháp phân tích tiêu bản nhuộm PAP như: phết tế bào cổ tử cung, phết tế bào không phải cổ tử cung và tất cả các loại vật chất tế bào khác, ví dụ như bàng quang). Trong ứng dụng phân tích tế bào thường sử dụng loại vật kính 10x. Các loại vật kính 40x và 63x (khô) được sử dụng để quan sát chi tiết nhỏ hơn khi có một tế bào khả nghi được tìm thấy. Do đó, yêu cầu chuyển đổi giữa các loại vật kính cần được thực hiện nhanh chóng. Các điểm nghi vấn có tế bào lạ cần được đánh dấu và sau đó được phân tích kỹ hơn để có kết luận chuẩn đoán cuối cùng. Chế độ trường sáng chủ yếu được sử dụng cho ứng dụng này. Trong một số trường hợp thì kỹ thuật phân cực (phân tích hạt ngoại lai hoặc bệnh gút) hoặc tương phản pha cũng được sử dụng.

Kính hiển vi sinh học Leica DM 1000/2000/2500/3000 được thiết kế chuyên cho các các phòng thí nghiệm sinh học, y tế và lâm sàng, lấy trọng tâm là chuẩn đoán y tế cho ứng dụng tế bào học và bệnh lý học.

Kính hiển vi sinh học Leica DM 1000/2000/2500/3000 (LED)
Dễ dàng. Tốc độ. Chất lượng. Được lựa chọn để tối ưu hóa khả năng quan sát, dễ dùng và chụp anh tốc độ cao.

Leica LAS X là một nền tảng phần mềm sử dụng đơn giản, được thiết kế chuyên cho ứng dụng nghiên cứu khoa học sự sống, đặc biệt cho các ứng dụng huỳnh quang từ chụp ảnh hiển vi phổ thông đến nâng cao trong nghiên cứu y sinh.

Giao diện nền tảng phần mềm Leica LAS X