Công ty TNHH Sao Đỏ Việt Nam

Icons giỏ hàng Giỏ hàng 0
Tổng : 0 đ
Trang chủ  /  Tin tức  /  Phân tích & Thí nghiệm

Ứng dụng quan sát mặt cắt ngang diện rộng của bảng mạch với thiết bị chuẩn bị mẫu ArBlade5000

449 lượt - 26-12-2022, 11:32 am

 Hình 1a

 

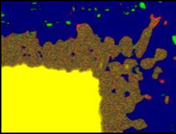
Hình 1b

   

Hình 1c

 

 

Thiết bị chuẩn bị mẫu bằng chùm tia ion:ArBlade5000
Điện áp gia tốc: 8.0 kV, Thời gian phay:5 giờ,
Diện tích: 6,4 mm

Thiết bị quan sát SEM, phân tích EDX: SU8200 + Oxford (HORIBA) X-Max80
(b) Điện áp gia tốc :3.0 kV, Độ phóng đại: x7k,
Tín hiệu:PDBSE
(c) Điện áp gia tốc :8,0 kV, Độ phóng đại: x7k,
Thời gian phân tích:TruMap 15 phút

 

ArBlade5000 có thể thực hiện chức năng flat milling trên diện rộng trong thời gian ngắn hơn, nhờ sự kết hợp của súng ion mới có tốc độ milling lớn và chức năng milling mặt cắt diện rộng. Hình 1 là quan sát SEM và phân tích EDX trên mặt cắt ngang của bảng mạch, được chuẩn bị với ArBlade5000.

 

Có thể làm phẳng diện tích có chiều rộng 6,5 mm và chiều sâu 1,3 mm chỉ trong 5 giờ (hình 1(a)). Ngoài ra, từ hình ảnh BSE (hình 1 (b)) và EDX (hình 1 (c)) của mấu nối giữa điện cực và miếng hàn trong hình chữ nhật màu đỏ trong hình 1 (a), hình dạng của giao diện và phân bố thành phần được quan sát rõ ràng.

 

Chihiro Nomaguchi và Takeshi Sunaoshi; Bộ phận phát triển ứng dụng., Toru Iwaya; Bộ phận thiết kế kính hiển vi điện tử

 

*****************************************************************
Để được tư vấn và biết thêm thông tin chi tiết, xin vui lòng liên hệ:
Công ty TNHH Sao Đỏ Việt Nam
Email: info@redstarvietnam.com / thuy.le@redstarvietnam.com
URL: www.redstarvietnam.com

Tin liên quan