Độ dày lát mỏng thông thường cho quan sát bằng kính hiển vi điện tử truyền qua (TEM) vào khoảng từ 20nm đến 150nm. Có nhiều kỹ thuật chuẩn bị mẫu lát mỏng. Bên cạnh các kỹ thuật như ăn mòn Ion, FIB, đánh bóng tripod và điện hóa thì kỹ thuật cắt lát siêu mỏng là phương pháp nhanh và sạch để tạo lát cắt siêu mỏng cho mẫu sinh học hay mẫu polime, cao su, vật liệu cứng, vật liệu mềm, vật liệu dẻo. Lợi ích cốt lõi của phương pháp cắt lát siêu mỏng là kích thước và độ đồng nhất của tiết diện mà chùm tia điện tử sẽ đi qua.


Để có thể tạo nên một hình ảnh mẫu vật trên kính hiển vi điện tử truyền qua (TEM), tín hiệu điện tử phải đi xuyên qua mẫu mà không bị tổn hao về tốc độ. Mức độ xuyên qua mẫu của tín hiệu điện tử một phần phụ thuộc vào trọng lượng và độ dày của mẫu (chiều dày x mật độ) và một phần phụ thuộc vào thế gia tốc của kính hiển vi điện tử. Tín hiệu điện tử được hấp thụ bởi mẫu có thể gây gia hiện tượng tích nhiệt và hình thành nên yếu tố ngoại lai trên mẫu.
Cắt lát siêu mỏng là thiết bị được sử dụng để tạo ra những lát mẫu cực mỏng, sau đó quan sát bằng kính hiển vi điện tử. Tùy thuộc vào từng loại mẫu, thiết bị có thể cắt lát mỏng đến 10nm. Mẫu được đưa vào cánh tanh thao tác có dịch chuyển được điều khiển bằng mô-tơ theo trục đứng. Sau khi thực hiện lát cắt đầu tiên thì cánh tay thao tác mẫu được kéo ra xa, một bước tịnh tiến cơ điện cực chính xác đẩy mẫu nhẹ về phía trước theo độ dày lát cắt đã được cài đặt.
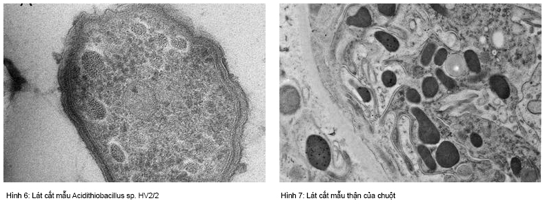
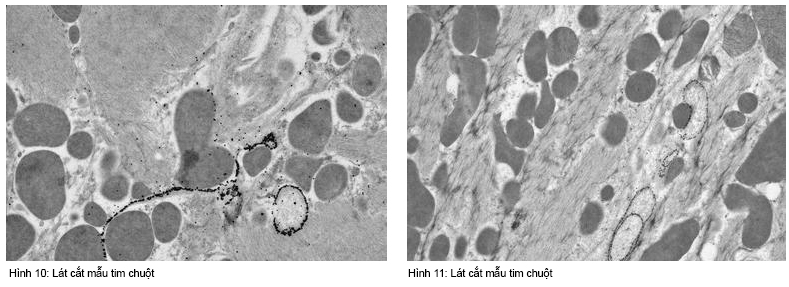
Quá trình cắt lát được thực hiện bằng cách dịch chuyển mẫu theo chiều đứng trên toàn bộ lưỡi dao kim cương hoặc thủy tinh cố định và cực sắc. Việc lấy lát cắc trực tiếp từ lưỡi dao là cực khó vì lát cắt quá mỏng. Do đó, các lát cắt được lấy từ bề mặt nước trong máng nước, sau đó mẫu được quan sát bằng kính hiển vi điện tử truyền qua (TEM). Bên cạnh đó, bề mặt của phần mẫu còn lại sau khi được cắt lát có độ mịn hoàn hảo và có thể sử dụng để quan sát trên kính hiển vi điện tử quét (SEM).





Tải tài liệu “Chuẩn bị mẫu hiển vi điện tử - Cắt lát siêu mỏng”
Giới thiệu thiết bị chuẩn bị mẫu hiển vi Leica