Thay thế kết đông là quá trình khử nước ở nhiệt độ thấp phù hợp để trách không hình thành các tinh thể nước đóng băng, đồng thời hạn chế những tác động phá hỏng mẫu như trong quá trình khử nước ở nhiệt độ môi trường. Trong quá trình thay thế kết đông nước đóng băng được hòa tan bằng dung môi hữu cơ, thường là các chất hóa học đóng cứng (Steinbrech và Muller 1987). Thay thế kết đông liên kết quá trình cố định vật lý các phần tử tế bào (cố định mẫu nhiệt độ thấp) với quá trình đúc mẫu bằng chất dẻo. Khi qúa trình thay thế kết đông kết thúc, mẫu được làm ấp và xử lý thêm bằng phương pháp truyền thống. Kết quả cố định mẫu nhiệt độ thấp thành công bằng phương pháp thay thế kết đông cho thấy khả năng duy trì cấu trúc ưu việt hơn với các kỹ thuật cố định mẫu hóa chất (1992). Tập hợp các đại phân tử trong dung môi hữu cơ và quá trình thay đổi vỏ thủy hóa xung quanh phân tử sinh học có thể xảy ra tại nhiệt độ rất thấp, nhưng có lý để giả định rằng thay thế kết đông tại mức nhiệt độ dưới ngưỡng cụ thể sẽ duy trì được vỏ thủy hóa (Hobot et al. 1985; Kellenberger 1991).
Kỹ thuật này cũng mang đến khả năng kiểm tra các mẫu có độ dày lớn (200 đến 300 nm) bằng ET để một khối lượng tế bào tương đối lớn có thể hình thành lên thông tin 3 chiều (3D). Phương pháp này có lợi ích lớn trong việc hiểu rõ liên kết phức hợp giữa cơ quan tế bào với các xự kiện ngẫu nhiên.

Hình 1: Men bia
Courtesy: de Rycke R
Quy trình chuẩn bị mẫu kết đông áp suất cao (HPF) – thay thế kết đông (AFS) cho phân tích hình thái học
Tế bào rễ Arabidopsis thaliana (mutant PIN1pro:PIN1-GFP; bex5-1) được cắt lát, ngâm trong 20% (w/v) BSA và được kết đông lập tức trong máy kết đông áp suất cao (Leica EM PACT).
Quá trình thay thế kết động được thực hiện với Leica EM AFS2 trong acetone khô chứa 1% ddH2O, 1% OsO4 và 0.5% glutaraldehyde trong 4 ngày như sau:
Sau đó rửa mẫu 3 lần với aceton tinh khiết trong khoảng nhiệt độ từ -30oC đến 0oC, làm ấp đến 4oC, thâm nhiễm trong vòng 3 ngày ở 4oC với chất dẻo Spurr và đúc trong bao nang.
Tiến hành cắt lát siêu mỏng với máy cắt Leica EM UC6 và xử lý sau nhuộm bằng Leica EM AC20 trong 40 phút với uranyl acetate tại 20oC và trong 10 phút với lead citrate tại 20oC. Cuối cùng quan sát bằng kính hiển vi điện tử truyền qua (TEM) tại thế gia tốc 80kV sử dụng công nghệ đĩa ảnh.

Hình 2: Ảnh lát cắt siêu mỏng tế bào rễ Arabidopsis thaliana trong Pin1pro:PIN1=GFP; bex5-1 được xử lý trong một giờ với 50 uM BFA
Courtesy: de Rycke R
Quy trình chuẩn bị mẫu kết đông áp suất cao (HPF) – thay thế kết đông (AFS) cho hiển vi điện tử miễn dịch mẫu tim chuột
Mô tim của chuột wild-type (WT) và αT-catenin KO (KO) được cắt lát, ngâm trong 20% (w/v) BSA và kết động lập tức bằng máy kết đông áp suất cao (Leica EM PACT). Tiếp theo quá trình thay thế kết đông được thực hiện bằng Leica EM AFS trong acetone khô chứa 2% ddH2O và 0.1% glutaraldehyde trong 4 ngày như sau:
Sau đó rửa mẫu 3 lần với aceton tinh khiết trong khoảng nhiệt độ từ -30oC đến 0oC, làm ấp đến 4oC, thâm nhiễm trong vòng 3 ngày ở 4oC với LR-White và đúc trong bao nang. Quá trình polime hóa được thực hiện bằng Leica EM AFS sử dụng đèn UV trong 6 ngày, bắt đầu từ 20oC và kết thúc tại 37oC.
Tiến hành cắt lát siêu mỏng với máy cắt Leica EM UC6 và xử lý sau nhuộm bằng Leica EM AC20 trong 40 phút với uranyl acetate tại 20oC và trong 10 phút với lead citrate tại 20oC.
Cuối cùng quan sát bằng kính hiển vi điện tử truyền qua (TEM) tại thế gia tốc 80kV sử dụng công nghệ đĩa ảnh.
Các bước đánh dấu miễn dịch và định tính đánh dấu được thực hiện như mô tả ở trên
Các kháng thể gốc sau được sử dụng cho phương pháp hiển vi điện tử miễn dịch (IEM)


Courtesy: Kaech A
Quy trình
Tế bào Hep-2 nhiễm vi rút viêm phổi được nuôi cấy trên đĩa Sapphire 6mm phủ cacbon. Tế bào được kết đông áp suất cao bằng Leica EM HPM100 sử dụng đĩa CLEM 6mm như sau: Đĩa Sapphire với tế bào, miếng đệm 200µm, đĩa Sapphire trống, 2 miếng đệm 200µm. Ethanol được sử dụng như là chất lỏng đồng bộ hóa để truyền áp suất tại nhiệt độ phòng trước khi làm lạnh. Sau khi kết đông, đĩa Sapphire được lấy ra từ đĩa trung tâm trong anhydrous aceton tại -90oC và lập tức được chuyển vào ống nghiệm Eppendorf 2ml chứa 2% OsO2 trong anhydrous acetone, làm lạnh trước đến -90oC trong máy thay thế kết đông Leica EM AFS2.
Mẫu được thay thế kế đông như sau:
Với tốc độ chuyển hóa nhiệt độ giai đoạn 30oC/giờ. Mẫu sau đó được rửa hai lần với anhydrous acetone tại 4oC, nhúng với 33% Epon/Araldite trong anhydrous acetone tại 4oC qua đêm, sau đó với 66% Epon/Araldite trong anhydrous acetone tại 4oC trong 6 giờ, cuối cùng với 100% Epon/Araldite tại nhiệt độ phòng trong 2 giờ trước khi polime hóa tại 60oC với khoảng thời gian tối thiểu là 24 giờ trong ống nghiệm Eppendorf 1.5ml. Lát mỏng sau đó được xử lý với uranyl acetate và lead citrate.
Chú ý: Sử dụng ethanol làm chất lỏng đồng bộ hóa trong quá trình kết đông áp suất cao là không cần thiết cho một lớp nuôi cấy mô trên đĩa Sapphire. Cấu hình sandwich đơn giản có thể sử dụng để tạo ra kết quả tương tự bằng cách đặt đĩa Sapphire trong đĩa CLEM với mô hướng lên trong hộp chứa mẫu bằng nhôm được nhúng chìm trong 1-hexadecene có lỗ 100 µm hướng đến các tế bào.

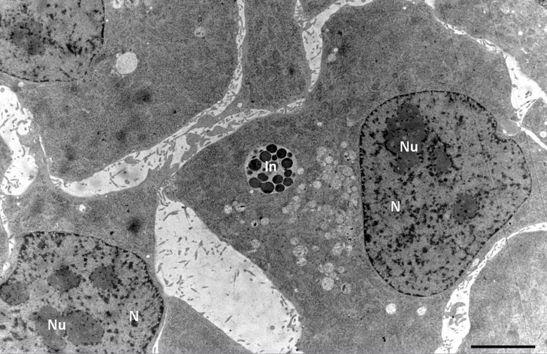
Hình 7: Ảnh lát cắt của tế bào Hep-2 nhiễm vi rút viêm phổi. N, nhân tế bào; Nu, hạch nhân; In, thể vùi. Thang đo 5 µm

Hình 8: Độ phóng đại cao hơn cho thể vùi của tế bào trong Hình 1. C, tế bào virút viêm phổi; G, Hạt Glycogen; Go, Golgi; M, Mitochondrium; Mt, vi cấu trúc hình ống; R, ribô thể; V, bọng nước. Thang đo 50 nm

Hình 9: Ảnh lát mỏng tế bào Hep-2 nhiễm vi rút viêm phổi. N, nhân tế bào; Nu, hạch nhân; NP, Nucleopores; Z, Zonula adhaerens. Thước đo 2 µm.

Hình 10: Ảnh lát mỏng tế bào Hep-2 nhiễm vi rút viêm phổi. Ảnh phóng đại lớn hơn cho vùng lựa chọn trong Hình 3. A, sợi Actin; MB Mulitvesicular body; Mt, vi cấu trúc hình ống; N, hạt nhân; NP, hạch nhân, R, Ribô thể; Z, Zonula adhaerens. Thức đo 1 µm

Hình 11: Ảnh lát mỏng tế bào Hep-2 nhiễm vi rút viêm phổi. Ảnh phóng đại cao hơn cho vùng lựa chọn ở Hình 4. Cp, hốc phủ Clathrin; Mt, vi cấu trúc hình ống; R, ribô thể; Z, Zonula adhaerens. Thức đo 200nm
Courtesy: van Donselaar EG, Humbel BM, Utrecht University, The Netherlands; Slot JW, University Medical Center, Utrecht, The Netherlands
Hình 12-14: Sụn chuột
Hình 15: Tế bào gan HepG2 Hình 16: Men bia